


Promising You Award Winning Dentistry
At Start Smiling you can feel safe in the hands of our expert team. Rest assured, every member of the team will do their utmost to ensure your experience with us is as stress free and enjoyable as possible.
Your safety, wellbeing and happiness will always be our priority and we will strive to deliver first-class patient care and customer service. We want you to be involved at every stage of your treatment and we always offer a personalised service.
What Our Patients Have To Say

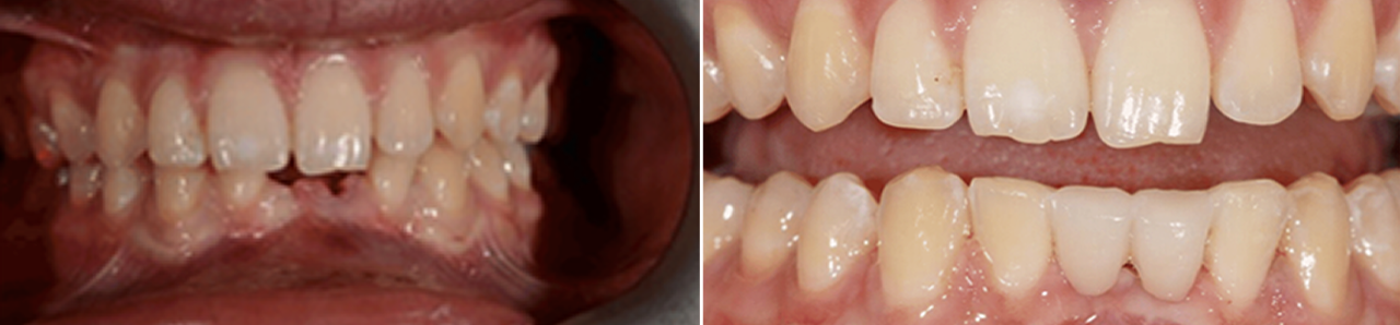
Iman
Patient
Meet The Team!
Start Smiling Dental Practice, award-winning dentistry on your doorstep. Offering you a choice of advanced treatments by familiar faces, along with general dental treatments for you and your family. Always wanted that perfect smile? Why not take that first step today?
Introducing your Dental team at Start Smiling Dental Practice in Essex.

Tom Sealey

Tony Aneiros
Dentist

Natalie Hutson

Emma

Deimante Steponaityte
Promising You Award Winning Dentistry





















Would You Like To Transform Your Smile?
You can relax with a hot drink while you chat about how, and in what ways, Start Smiling can help to improve your smile.

Contact Us For Your Free Smile Analysis Today
Whether it's a routine check up or a smile makeover, please complete the below form and one of the team will be in touch




